熏染性喉气管炎(ILT),,,,,简称传喉,,,,,在1925年首次见于报道,,,,,是一种保存已久的家禽呼吸道熏染病。。。。。。。传喉在中国一直以来主要熏染蛋鸡、种鸡和黄羽肉鸡。。。。。。。可是近年来,,,,,白羽肉鸡爆发传喉的病例逐年增添,,,,,严重影响肉鸡生产性能,,,,,给养殖利润造成了重大损失。。。。。。。作为农场治理者,,,,,怎样知道外地是否有传喉在白羽肉鸡群中盛行???????要不要接纳免疫或其它防控步伐???????首先需要的是准确诊断。。。。。。。
熏染性喉气管炎的症状包括:咳嗽、湿性啰音、呼吸难题、甩头、倾轧血痰、流泪、眼睑粘连和眶下肿胀(图1)等。。。。。。。剖检可见鼻腔和气管内保存大宗黏液(图2),,,,,喉头和气管内保存带血黏液,,,,,红色或干酪样的假膜,,,,,甚至形成栓子。。。。。。。关于蛋鸡来说,,,,,一样平常可通过倾轧血痰和气管内的带血黏液或红色栓子来确诊传喉。。。。。。。可是关于白羽肉鸡,,,,,特殊是3~4周龄的白羽肉鸡,,,,,熏染传喉后经常仅体现为呼吸道症状和生产性能下降。。。。。。。这时我们很难把传喉与支原体、传支、新城疫以及低致病性禽流感等其它呼吸道疾病区脱离来。。。。。。。因此通过实验室手段来诊断传喉是很是须要的。。。。。。。常用的实验室诊断要领分为病理学要领、病原学要领和血清学要领。。。。。。。

图1:爆发传喉后呼吸难题和结膜粘连的鸡(泉源:Vasudevan Gowthaman)

图2:气管内的带血黏液和干酪物(泉源:Walter Fuchs)
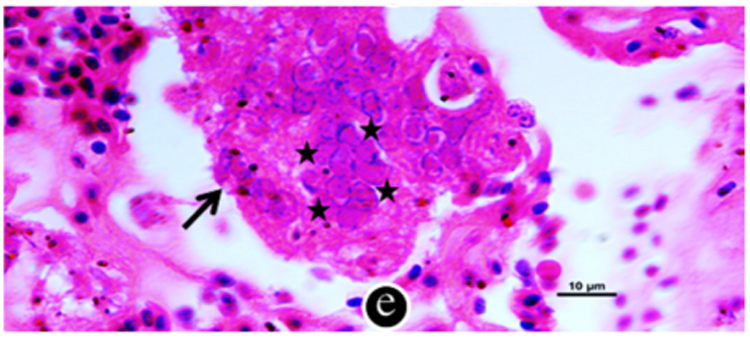
病理学要领主要是指容纳体检测。。。。。。。其详细要领是收罗气管或眼睑等病变组织制成切片,,,,,在显微镜下视察。。。。。。。熏染性喉气管炎的特征性病变是在镜下视察到合胞体,,,,,在合胞体内保存核内容纳体(图3)。。。。。。。需要注重的是,,,,,做病理切片检查一样平常要求送检活鸡,,,,,殒命时间太长鸡会爆发组织自溶,,,,,导致容纳体无法检出。。。。。。。别的送检的鸡应该处于病程初期和中期。。。。。。。到了病程后期,,,,,由于上皮细胞被大宗破损,,,,,可能会看不到合胞体和容纳体。。。。。。。容纳体检测具有高度特异性,,,,,可是对样品的要求较高,,,,,且敏感度相对低。。。。。。。

图3:显微镜下的合胞体和核内容纳体(泉源:Vasudevan Gowthaman)
病原学要领包括PCR、病毒疏散、免疫荧光和免疫组化等。。。。。。。
PCR的原理是检测传喉病毒的基因,,,,,具有本钱低、耗时短、敏感度高等优势,,,,,并且对样品的要求也相对低,,,,,是现在诊断禽病常用的一种要领。。。。。。。将PCR与基因测序相团结还可以区分野毒和疫苗毒。。。。。。。
常用的病毒疏散要领是将病料接种于鸡胚的绒毛尿囊膜。。。。。。。传喉病毒会在此处形成不透明的斑块(图4)。。。。。。。病毒疏散相关于PCR本钱更高,,,,,耗时更长,,,,,对采样和送样的要求也更高。。。。。。。可是通过病毒疏散可以获得活病毒,,,,,以便于做进一步的毒力和组织嗜性等方面的研究。。。。。。。PCR和病毒疏散都保存一个相同的缺陷,,,,,即只能证实传喉病毒在病鸡体内保存,,,,,可是不可直接证实是传喉病毒导致了鸡发病。。。。。。。

图4:鸡胚绒毛尿囊膜上的斑块(泉源:LDA 22)
免疫荧光和免疫组化是通过荧鲜明色或化学染色的要领展示出病变部位的传喉病毒。。。。。。。由于本钱高,,,,,操作重大,,,,,耗时长而应用较少。。。。。。。
血清学要领是指检测传喉抗体。。。。。。。关于3周龄以上,,,,,没有免疫过熏染性喉气管炎通例活疫苗的鸡群,,,,,传喉抗体为阳性即体现爆发过ILTV熏染。。。。。。。检测抗体可接纳琼脂扩散,,,,,免疫荧光或酶联免疫吸附试验(ELISA)等要领。。。。。。。由于ELISA本钱低,,,,,敏感且标准化水平高,,,,,现在应用最为普遍。。。。。。。需要注重的是,,,,,传喉血清抗体一样平常在熏染后7天才最先转阳,,,,,熏染后14天才华抵达岑岭。。。。。。。别的,,,,,抗体为阳性仅体现鸡熏染过ILTV,,,,,不体现一定是ILTV引起了发病。。。。。。。早期熏染过从其它鸡群撒播过来的疫苗毒的鸡群仍然会体现为ILT抗体阳性。。。。。。。
当PCR和ELISA效果为阳性时,,,,,虽然无法完全一定本次发病是传喉病毒导致的,,,,,可是可以确定有传喉病毒在鸡场中盛行。。。。。。。我们仍然需要接纳响应的预防步伐,,,,,阻止爆发损失。。。。。。。


鲁公网安备 37061202000295号